전문센터/클리닉
사랑을 실천하는 일신기독병원
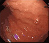
위 점막의 표면 위로 솟아 올라온 혹을 말하는 것입니다. 위용종, 위폴립, 위물혹, 양성 위종양 등으로 불리워지며 선종성 용종이라고 불리기도 합니다. 위용종은 대개 양성 질환이며, 특별한 경우를 제외하면 암으로 진행하지 않습니다.
염증성 용종, 과증식성 용종 및 선종성 용종으로 분류될 수 있습니다.
대개 임상 증상을 유발하지 않지만 유문 근처에 발생한 경우에는 유문 폐색 혹은 구토가 유발될 수 있고 흔하지는 않지만, 크기가 큰 과형성 용종의 경우 표면에서 출혈이 일어나 만성적인 빈혈을 유발하는 경우도 있습니다. 위선종은 크기가 커짐에 따라서 암으로 발전할 가능성이 매우 높으며, 암으로 진행하는 데에는 수개월부터 수십년까지 일정하지 않습니다.
염증성 용종이나 과증식성 용종의 경우 암으로 발전할 가능성이 거의 없다고 알려져 있습니다. 전체적으로 보아 약 0.1% 정도에서 암이 발견되거나 암으로 발전합니다. 염증성 용종이나 과증식성 용종의 경우에는 일반적으로 제거를 강력히 권유하지는 않습니다만 크기가 큰 경우에는 내시경을 이용하여 제거하는 것이 바람직합니다. 대부분은 내시경적으로 제거할 수 있고 이를 내시경적 용종 절제술이라고 합니다. 이는 내시경을 위 속에 넣은 후에 전기 올가미로 집어 올려 잘라내는 방법입니다. 이 방법은 매우 간편하고, 개복 수술에 따르는 위험이 없기 때문에 안전하게 시술할 수 있습니다.
특별한 예방은 없으며 채소를 많이 섭취하고 짜게 먹지 않도록 식단을 조절하는 것이 중요합니다. 과증식성 용종이나 위선종은 제거한 자리에서 간혹 재발하는 경우가 있으며, 위의 다른 부위에서 새로운 용종이 자라나는 경우도 있습니다. 그러므로 한 번 위용종이 있다고 진단을 받으면 치료 유무에 관계없이 매년 정기적으로 위내시경 검사를 받아야 합니다. 특히 위선종은 위암의 전 단계로 이해되고 있기 때문에 발견하면 제거하는 것이 바람직하며, 제거한 후에도 정기적인 검진을 통해 재발되지 않는지 확인해야 합니다.
한국인에게 가장 흔한 암으로 이웃나라 일본, 멀리 떨어진 남미의 칠레, 북구의 핀란드, 아일랜드에서도 많이 발병합니다. 위암이 생기기 시작하여 우리 눈에 보이게 될 때까지는 2년에서 2년 반이 걸리며, 40대 이후부터는 위암의 조기발견과 치료를 위해 2-3년에 한번씩 정기적으로 위내시경 검사나 방사선 검사를 받아야 합니다.
위암이 많은 민족을 조사해 보면 짜고 매운 음식, 소금에 절인 채소나 생선, 불에 직접 태워 익힌 고기, 훈제생선, 질산염성분이 많은 식수를 즐겨 많이 먹고 있음을 알 수 있습니다.
다른 암과 마찬가지로 유전적 요인도 무시할 수 없는데, 위암환자의 2세는 위암발생의 가능성이 일반인보다 3∼4배 높아 주의를 요하고 있습니다. 50세 이후의 장년기에 발생률이 급격히 증가하며 남자보다 여자에서 2배정도 흔하게 나타납니다.
위암에 걸려도 초기에는 별다른 증상이 없는 것이 보통이며 가벼운 소화불량, 속쓰림, 식욕부진 등 기능성 소화불량이나 위염을 의심할 정도의 증상이 있을 뿐이어서 가볍게 넘겨 버리는 경우가 대부분입니다. 따라서 장년기에는 이런 하찮은 증세라도 2∼3주 이상 이유 없이 지속될 경우 반드시 검사를 해봐야 합니다. 구토, 출혈, 연하곤란, 심한 빈혈, 현저한 체중감소가 있거나, 복부에서 덩어리가 촉진될 때는 암이 이미 상당히 진행되어 있는 경우가 많습니다.
위암은 내시경검사나 방사선검사를 통해 진단 받게 됩니다. 특히 내시경검사는 위벽의 색깔변화를 관찰할 수 있기 때문에 병변이 아주 작더라도 암을 쉽게 찾아낼 수 있고, 조직을 떼어내어 병리검사를 할 수 있기 때문에 진단시 필수적입니다.
벽은 5개의 층으로 구성되어 있는데, 위암은 위벽의 제일 안쪽인 점막층에서 시작되어 아래층으로 점차 파고 들어가게 되며, 결국은 혈관이나 림프관을 타고 주위장기와 전신으로 전이되게 됩니다.
위암이 초기, 즉 점막층이나 바로 아래층인 점막하층에 국한되어 있을 때를 조기위암이라고 합니다. 암이 위벽 전체를 침범한 진행성 위암의 경우 수술이 성공적이라고 하더라도 5년 후 생존률이 25∼30%밖에 되지 않으나, 조기위암의 경우는 90%이상으로 좋은 예후를 보입니다.
위암의 근본적인 예방이 현실적으로 불가능한 현재로서는 위암을 조기 진단하여 제거하는 것만이 최선의 치료 방법입니다. 조기위암 중 크기가 작고(융기형의 경우 2cm이하, 함몰형의 경우 1cm이하), 암이 점막 층에 국한되어 있는 경우에는 내시경만으로도 완치를 기대할 수 있습니다.



