전문센터/클리닉
사랑을 실천하는 일신기독병원

우리나라에서는 암사망률의 7위를 차지하는 암으로서 10만명당 3명꼴입니다. 50대 이후부터 연령이 올라갈수록 급격히 증가하며, 60대에서 절정이 됩니다. 남녀비는 약 6:1로 남성에게서 많이 나타납니다.
식도암은 식도의 내면을 덮고 있는 점막에서 발생하며 식도의 안쪽을 덮고 있는 점막은 편평상피라는 점막이기 때문에 식도암은 편평상피암이 많으며 드물게 선암이나 미분화암이 발생하는 경우도 있습니다.
식도암은 다른 위장관의 악성종양에 비해 특히 경과가 나쁜데 식도에는 장막이 없어서 암세포가 주위기관으로 퍼지기 쉽고 식도 주위에는 기관 또는 기관지나 폐, 대동맥, 심장 등 중요한 장기들이 근접해 있기 때문에, 암이 진행되어 식도벽을 뚫게 되면 쉽게 이들 주위의 장기로 퍼져 나가기 때문입니다. 병변이 진행된 상태에서 발견되면 완치가 불가능한 경우가 많이 때문에 조기에 질환을 발견하는 것이 중요합니다.
식도암 발생 위험은 흡연자에서 특히 높으며 음주, 뜨거운 차, 방사선 노출, 양잿물에 의한 식도 손상 등이 위험 인자들로 알려져 있으며 특히 술과 담배 모두를 즐기는 사람에게 많이 나타납니다. 중국, 일본 등 아시아인에게 식도암 발생률이 특히 높은데 이것은 이들이 뜨거운 차를 많이 마시기 때문인 것으로 추정되며 절인 야채나 발효된 음식을 먹는 것도 위험 요인이 되는 것으로 알려져 있습니다.

연하곤란(삼키기 곤란한 증상)이 대표적이며, 가슴 통증, 체중 감소 등도 생길 수 있습니다.
식도암이 상당히 진행되어 기관지, 폐에까지 암이 미치게 되면 음식물을 먹을 때에 숨이 막힐 듯한 기침 (특히 음식물을 삼킬 때)을 하게 되거나 기관지염과 같은 증상이 나타납니다. 이러한 증상은 질환이 많이 진행된 상태에서 발생하며 조기 질환의 경우 무증상인 경우가 대부분입니다.
식도조영술과 내시경검사로 진단이 가능하며 확진을 위해서는 내시경 검사를 통한 조직검사가 필요합니다. 그 외에도 암의 확산정도를 알아보기 위해 초음파내시경검사, 초음파검사, CT, MRI 검사 등을 실시합니다. 최근에는 내시경 검사를 하면서 염색액을 이용해서 식도 점막을 검사하는 방법과 내시경적 초음파의 사용으로 초기의 식도암을 진단하기가 비교적 용이하므로 조기 발견을 위한 노력이 중요합니다.
치료는 수술이 가능한 경우에는 외과적 절제술을 시행하는 것이 가장 좋습니다. 종양이 진행된 상태여서 근치적 수술이 불가능한 상태라면 항암 약물 - 방사선 복합 치료로 상당한 효과를 볼 수 있습니다. 종양에 의해 식도가 막혀음식물을 섭취하기 곤란한 상태로 수술이 어려운 경우에는 내시경 시술로 인공 식도관을 삽입해서 음식을 먹을 수 있도록 해 주는 경우도 있습니다.

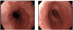
바렛 식도란 하부 식도의 편평상피세포가 위의 상피세포인 원주상피세포로 대치된 것을 말합니다.
위 식도 역류에 의한 염증의 치유 과정에서 원주상피가 더 쉽게 재생되기 때문에 생기며 지속적인 위식도 역류가 있는 경우 약 12%에서 발생하는 것으로 보고된 바 있습니다. 위식도 역류 외에 음주, 흡연이 바렛 식도 발생과 관계있다는 보고도 있습니다.
바렛 식도 자체는 증상을 일으키지 않지만 동반된 위식도 역류에 의한 증상이 있을 수 있습니다.바렛 식도의 문제점은 약 10%에서 선암이 발생할 수 있다는 것인데 이는 일반 인구에 비해 위험도가 30~40배 높은 것입니다.
내시경 검사에서 하부 식도의 점막이 비정상적인 분홍색 원주상피로 대치된 것을 관찰하고 조직 검사로 확인하면 진단을 내릴 수 있습니다.
내과적 치료로 바렛 식도가 없어지는 경우는 드물지만 동반된 위식도 역류를 치료하고, 생길 수 있는 식도 선암을 조기 발견하는 것이 중요합니다. 하부 식도 선암의 발생 위험성을 고려하여 1~2년마다 내시경 검사 및 조직 검사를 하여야 하며 이형성(dysplasia)이 진행되면 선암의 발생 가능성이 높기 때문에 식도 절제를 고려해야 합니다.
